Loading
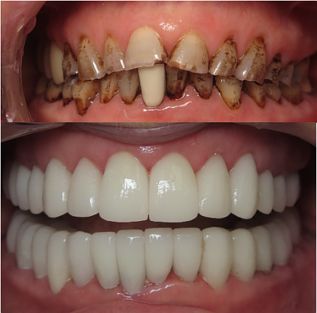
For many people, an aging smile tells an unwelcome story of worn-down teeth, mismatched crowns from years of piecemeal dentistry, yellowing enamel, and bites that no longer align properly. Dr. Jill Morris of World Class Dentistry has spent her career developing the expertise to change that narrative: restoring both the beauty and function of a patient’s smile through advanced cosmetic dentistry and bite reconstruction.

“People come in with what I call an aging smile,” Morris explains. Over time, teeth can wear down from bruxism, grinding, and misaligned bites. Crowns placed years apart may no longer match, gums recede, and teeth shift or become crooked. “Little by little, the teeth get worn and uneven,” she says. “As the teeth wear down, the face can actually shorten and collapse.”
That’s because the distance between the nose and chin is supported by the teeth. When that structure changes, it can affect far more than appearance. Patients may experience TMJ, jaw pain, airway issues, or even sleep disturbances such as sleep apnea.
Morris addresses these problems through neuromuscular dentistry, restoring the jaw to its optimal, relaxed position. Using Electromyography (EMG) technology to measure jaw-muscle activity, she determines the correct bite—often the same natural alignment patients had in their 20s. From there, she designs restorations such as porcelain veneers or full mouth reconstruction to rebuild both aesthetics and function.
“I find the correct bite and then build the beautiful dentistry to recreate it,” she says. “Everything is metal-free and designed to look completely natural. When the bite is right, the dentistry holds up far better over time.”
Morris also maintains unusually close oversight of the process. With an in-house laboratory, she personally reviews every stage of the work—from color and shape to how each tooth fits within the smile and the face. “Every restoration is quality-controlled by me,” she says. “I won’t let anything proceed until it’s exactly what I want for the patient.”
The results can be transformative. Her patients regain the ability to eat, chew, and smile comfortably while restoring facial balance. “When your bite is corrected, the body relaxes,” Morris explains. “People feel better, smile more, and express their joy again. It really does change lives.”
To learn more or schedule a complimentary consultation, call 941-923-6363 or visit www.sarasotadentist.com to see smile makeover galleries and patient testimonials.